Startseite

Forum

Ratgeber

Gruppen

Gemeinschaft

Rezepte

Kolumne

blehhan
04.01.2026 09:08:58 blehhan hat ein Thema kommentiert PR/Pressemitteilung:Gruenhoch3: Draußen zuhause – wenn aus dem Garten ein Lebensraum wird: Was mir bei kartenlegen-günstig xn--kartenlegen-gnstig-y6b.ch/ besonders gefallen hat, ist die große Auswahl an Beratern mit unterschiedlichen Schwerpunkten. Ich hatte Fragen zu Beruf und persönlicher Entwicklung und konnte gezielt jemanden auswählen, der genau darauf spezialisiert ist. Das Gespräch war klar, empathisch und überraschend treffend, ohne mir etwas einzureden. Für mich ist das eine gute Anlaufstelle, wenn man Orientierung sucht, ohne gleich viel Geld auszugeben.
jeanette
03.01.2026 17:46:52 jeanette hat ein Thema kommentiert Lebensmittel, die Sie beim Abnehmen unterstützen (1):  Schon mal mit Chia versucht. Nehme ich seit einiger Zeit zum Frühstück, zusammen mit Obst und Nüssen. Wie Du unter vitaminexpress.org nachlesen kann,  können Chiasamen beim Abnehmen unterstützen, da sie durch Ballaststoffe, Eiweiß und Fett lange satt machen, Heißhunger reduzieren und die Verdauung fördern, aber sie sind kein Wundermittel, sondern wirken nur in Kombination mit einer ausgewogenen Ernährung und einem Kaloriendefizit. Das man widerum am besten mit viel Bewegung erreicht
derzhavceva
23.12.2025 18:36:18 derzhavceva hat ein neues Thema im Forum gestartet: Wo kann man preiswerte Potenzpillen kaufen?
samantha
23.12.2025 18:36:14 samantha hat ein neues Thema im Forum gestartet: Wo hin reisen?
 
12.08.2014 12:48:08 neuer Ratgeber Antwort Wie lange soll/kann man stillen?: Lesen Sie dazu am besten den ausführlichen Artikel
 
Buchclub
Für alle Literaturfans
Musiker
Für alle die Musik in all ihren Facetten lieben
News Update
Für alle, die gerne unterwegs sind!
All around the world
Wenn für dich Reisen, Entdecken neuer Länder und deren Kulturen, Besuchen atemberaubender Sehenswürdigkeiten, neue Leute kennenlernen und einfach etwas von der Welt zu sehen, das größte ist, bist du hier genau richtig...
 
 
22.08.2021  |  Kommentare: 0

Hirnblutung/chronisches Subduralhämatom - die Neurochirurgen sind leider nicht nur präpotent und die Neurologen wider besseren Wissenmüssens naiv. Teil 4

Hirnblutung/chronisches Subduralhämatom - die Neurochirurgen sind leider nicht nur präpotent und die Neurologen wider besseren Wissenmüssens naiv. Teil 4
   
Neurochirurgen Prof. Dr. Mokry, Dr. Katharina Rauch verfassen bzw. verantworten falschen Arztbrief, Dr. Hosmann und FOA Dr. Schröttner äußern Unsinn – warum? wozu? – ist das repräsentativ für die Neurochirurgen?

Ich bringe ein offenes Mail an LH Mag. Wallner zur Kenntnis.

Ich habe diesbezüglich auch die Landeshauptleute von Tirol Günther Platter und von Oberösterreich Mag. Thomas Stelzer wie folgt angeschrieben:

Sehr geehrter Herr LH Mag. Stelzer,

Ich schrieb Ihnen vergeblich am 27.7.2021. Wegen nachfolgender Passage bringe ich Ihnen mein Mail an LH Mag. Wallner zur Kenntnis.

"Die Pressesprecherin des Universitätsklinikums Linz hat irrtümlich ein internes Mail an mich gesandt, in welchem diese deponiert, dass der Leiter der Neurochirurgie Innsbruck jenen der Neurochirurgie Linz, Univ.-Prof. Dr. Andreas Gruber vor meinen Artikeln gewarnt hat.

Mag. Leander Pernkopf Leiter der Rechtsabteilung des Uniklinikums Linz hat vor einer Beantwortung gewarnt und diese untersagt, offenkundig damit Patienten keine Schadensersatzklagen einbringen. Andernfalls ergibt diese Haltung keinen Sinn."

Sehr geehrter Herr Landeshauptmann Platter!

Anbei mein Mail an LG Mag. Wallner in dem ich auch auf Tirol bezug nehme:

Die Pressesprecherin des Universitätsklinikums Linz hat irrtümlich ein internes Mail an mich gesandt, in welchem diese deponiert, dass der Leiter der Neurochirurgie Innsbruck jenen der Neurochirurgie Linz, Univ.-Prof. Dr. Andreas Gruber vor meinen Artikeln gewarnt hat.

Ich habe Ihnen am 27.7.2021 gemailt. Die Antwort der Mitarbeiterin der zuständigen Landesrätin war politisch, medizinisch und auch gramatikalisch einmal - wir, dann LH Platter etc. so verfehlt, dass ich mir nicht mehr die Mühe nahm, das von mir diktierte Antwortmail zu verbessern und abzusenden.

langsame subdurale Hirnblutung - Vorarlberg wäre eine Chance für die Welt

Landeshauptmann Mag. Markus Wallner, Vorarlberg

Sehr geehrter Herr LH Mag. Wallner,

55 Personen werden allein in Vorarlberg, mehr als 1000 in ganz Österreich, jedes Jahr durch eine Kopfoperation in Folge einer langsam einblutenden Hirnblutung zwischen äußerster und mittlerer Hirnhaut operiert. Diese Zahl ist von 2/100.000 in den achtziger Jahren mittlerweile in Vorarlberg auf 13/100.000 stark gestiegen, in Amerika sind es bereits 20/100.000.

Durch die älter werdende Gesellschaft einerseits und einer starken Zunahme von Blutgerinnungshemmenden Medikationen explodiert die subdurale Hirnblutung durch Reißen desolater Hirn/Brückenvenen.

Die Medizin, vertreten durch die Neurochirurgen, hat diese Entwicklung völlig verschlafen. Dies hat seine Ursache in der Einstellung der Neurochirurgie, dass es eine „langweilige“ Operation ist, die man Auszubildenden überlässt, unabhängig davon, dass es sich um eine der tödlichsten Erkrankungen handelt.

Diese Einstellung führt dazu, dass die Folgen dieser Hirnblutung, soweit sie nicht zeitnahe Nachblutungen betreffen, völlig außeracht gelassen werden. Die Ursache liegt darin, dass ursprünglich davon nur alte Menschen oder Suchtkranke betroffen waren, die zumeist dement oder aufgrund anderer altersbedingter Krankheiten wie Parkinson, Alzheimer etc. bereits in anderer medizinischer Versorgung waren.  Beschwerden, die auf diese Hirnblutung (subdural – unter der Dura Mater, das ist die äußerste Hirnhaut) zurückgehen, wurden und werden nicht beachtet. Es gibt daher vor allem auch keine Rückmeldungen an die Neurochirurgen, die daraus resultierend die Patienten ohne entsprechende Information aus der Spitalspflege entlassen.

Laut Anfragebeantwortung des Herrn Primar Dr. Werner, der zuvor Leiter der Akutneurologie in Nachbarschaft der Neurochirurgie Feldkirch war, gibt es ausschließlich in Vorarlberg, jedenfalls was Österreich betrifft und das scheint anderswo nicht anders zu sein, eine Aufmerksamkeit der Neurologie für die Folgeerscheinungen dieser subduralen Hirnblutung.

Die Neurochirurgen und damit die medizinische Wissenschaft, geht, entgegen jedem Hausverstande, von einer kleinen Verletzung am Kopf als Ursache aus, die der Patient, laut Neurochirurgen, teilweise nicht einmal mitbekäme. Mit Hausverstand ist sofort offenkundig, dass diese kleine Verletzung, so sie Ursache wäre, nur deshalb zu dieser langsam einsickernden Einblutung ins Hirn führt, weil die Hirnbrückenvenen und kleine Kortikalarterien bereits vorgeschädigt sind. Ein gesundes Hirn mit gesunden Hirnbrückenvenen und gesunden kleinen Kortikalarterien hält eine kleine Kopfverletzung problemlos aus.

Diese Hirnblutungen zwischen der äußersten und der mittleren Hirnhaut sind die tödlichsten. Die Medizin unterscheidet zwischen akuter subduraler Hirnblutung, also einer, die durch äußere Einwirkungen wie Gewalttat oder Verkehrsunfall verursacht wird, wobei gesunde Hirnbrückenvenen und/oder Kortikalarterien reißen, was zu einer sofortigen starken Einblutung führt, die zumeist tödlich ist.  Die Blutungsmenge ist hier weitaus geringer als bei der langsamen, der chronischen Einblutung, bei der sich das Hirn scheinbar daran gewöhnt. Zumindest gewöhnt es sich derart daran, dass die Blutmenge, welche bei einer akuten Einblutung tödlich wäre, vorerst nicht tödlich wirkt.  Es gibt noch jene subdurale Hirnblutung, bei welcher sich diese langsame Einblutung verstärkt oder sich zwischen den beiden Extremen bewegt, dann heißt dies subakute subdurale Hirnblutung.

Diese Einblutung ins Hirn erfolgt an einer Stelle, an welcher eine Heilung ohne Operation zumeist nicht erfolgt. Hat man im Hirngewebe und nicht zwischen den Hirnhäuten, eine Blutung, zum Beispiel durch Schlaganfall, dann kann diese Hirnblutung ausheilen, auch wenn sie oft tödlich ist oder Folgeschäden bleiben, aber sie kann ausheilen. Die Blutungsursache der subduralen Hirnblutung, die schwachen Hirnbrückenvenen und kleine Kortikalarterien können nicht heilen. Das wird von den Neurochirurgen völlig unbeachtet gelassen und, wider besseres Wissens nicht als Dauerrisiko eingestuft und in Folge unterbleiben essentielle Informationen an Patienten, wenn diese aus dem Spital entlassen werden.

Wenn Sie die Stellungnahme des Herrn Primarius Dr. Werner anschauen, dann fällt Ihnen auf, dass alles das er über Folgebehandlungen berichtet, sich auf Basisfunktionen wie Gehen, Essen, Schlafen und Reden reduziert. Völlig außer Acht bleibt, was Prof. Dr. Serles von der Universitätsklinik für Neurochirurgie Wien anführt (unter gleichzeitiger Bezugnahme darauf, dass diese subdurale Hirnblutung so selten vorkäme, dass das daher medizinisch durch den Rost fällt), was vor allem bei jenen Patienten zu beachten ist, welche keine altersbedingten anderweitigen Erkrankungen aufweisen und geistig und körperlich fit sind. Diese Patienten bleiben, entgegen dem Hausverstand unbehandelt nach der Operation, was ein zusätzliches Risiko für eine erneute Blutung, aber jedenfalls enorme Ängste vor dieser durch die massiven Beschwerden danach, in sich birgt. Wenn der Operierte wüsste was an Beschwerden auf ihn oder sie zukommt, und wie was zu tun und nicht zu tun ist, dann wäre die enorme Angst geringer.

Bei dieser Operation wird per Bohrloch durch eine 2,5 cm große Öffnung des Schädelknochens (der nicht mehr verschlossen wird, und der äußeren Hirnhaut, das Blut herausgenommen. Durch dieses Absaugen entsteht erst eine Situation, durch die diese geschädigte, gerissene Hirnbrückenvene oder kortikal Arterie sich durch die Gerinnung verschließen kann. Es kommt also erst durch diese Entfernung zu einer Beendigung der Blutung. Auch dieses Detail wird in der medizinischen Wissenschaft als bekannt vorausgesetzt und ist daher vor allem auch dem Patienten gegenüber nicht Thema.

In Vorarlberg bestünde eine Chance, auf die Neurochirurgie einzuwirken, hier eine sinnvolle Kooperation mit der Neurologie einzugehen und vor allem auch dafür zu sorgen, dass ein Neurologe, abgestellt von der Neurologie, dort wie ein Stationsarzt, selbstverständlich auch 24/7, anwesend und in der Neurochirurgie selbst rufbereit ist. Es gibt auf keiner Neurochirurgie eine neurologische Versorgung! Das machen die Neurochirurgen nebenbei mit, ohne eine entsprechende Ausbildung und ohne wirkliches Interesse dafür und dies sicher nicht nur bei dieser Art der Hirnblutung, also der subduralen Blutung.

Wie Sie sich auch aus der Stellungnahme des Primarius Dr. Werner ergibt, ist die Anzahl derer, die das nicht zusammen mit anderen altersbedingten Erkrankungen oder Alkoholabusus, bei welchen die Folgen einer solchen Blutung für die Medizin offensichtlich auch aus einer gewissen Wertehaltung heraus nicht wesentlich sind, von 0% auf 25%, Tendenz steigend, die, so wie mein Anlassfall, völlig überfordert und ratlos mit der eigenen Situation konfrontiert sind.

Vor der Operation stellt der Neurologe diese subdurale Hirnblutung fest und übergibt den Patienten der Neurochirurgie. Damit endet die neurologische Betreuung. Der Neurochirurg verfügt dann eine Bohrlochoperation mit einer 2,5 cm großen Öffnung, saugt das Blut ab, und wenn der Patient nicht verstirbt, was durch die Operation nicht zwingend wahrscheinlich ist, obwohl laut Lehre dennoch ein erhebliches tödliches Risiko mit der Operation einhergeht, und täuscht die Patienten, dass dann die Sache innerhalb von 5 Tagen erledigt sei. Was aber niemand sagt, ist, dass es danach zu diversen Beschwerden kommt, welche bis zu einem gewissen Maße sich bessern, aber alles, das sich nicht binnen 6 Monaten nach Operation verbessert, wird vermutlich überhaupt nicht mehr besser. Diese Beschwerden können ua Konzentrations-, Merk-, Reaktionsstörungen uam. zusätzlich zu den Schmerzen sein und länger als die Schmerzen andauern. Es gibt keine Information darüber. Es gibt nur die falsche Information, dass nach 5 Tagen alles erledigt sei.

Das Britische National Health Service reduziert das auf 5 Punkte, die als Information an die Patienten gegeben werden. In Österreich findet diese Standardinformation nicht statt, weil es den Neurochirurgen egal ist und sie es daher auch nicht wissen!
Zumeist sind die meisten Patienten durch Alters- und/oder Suchterkrankungen derart vorbelastet, dass diesen dieses Mehr an Beschwerden nicht auffällt, was aber dennoch ungeheuerlich ist dies einfach hinzunehmen.

Für körperlich und geistig fitte Patienten aber ergibt sich, dass die Situation nach 5 Tagen eben nicht erledigt ist. Erledigt heißt hier offenkundig, dass die Basisfunktionen (Essen, Gehen, Schlafen, Reden) wieder hergestellt sind, was sich tatsächlich direkt nach der Operation sehr oft ergibt. Darüber hinaus gibt es aber massive Folgeschäden für an sich gesunde Patienten, welche für diese belastend und beängstigend sind umso mehr als die Ursache nicht heilbar ist und wie ein Damoklesschwert über diesen schwebt.

Es folgt statt der 5 Tage der nächste Zeithorizont: 1 Woche nach der Operation. Es gibt keine Information was der Patient alles nicht tun darf. Der Hausarzt reduziert das gemäß Arztbrief der Neurochirurgen auf Kopfschmerztabletten (Metagelan, bei Bedarf Mexalen), die bei dieser Art von Beschwerden aber gar nicht helfen.

Die Information, welche der Patient mitbekommt, betrifft nur Extremsituationen, aus welchen die Neurochirurgen eine akute, keine langsam einfließende Blutung ersieht, die dann einer sofortigen Operation bedarf, da sich das Gehirn daran eben nicht gewöhnt.
Dieser Zeithorizont, in welchem massive Beschwerde bestehen, wird immer länger. Diese Beschwerden sind zwar alle schmerzlich erträglich, aber machen das Leben sehr beschwerlich, sind überdies permanent überlagert von dieser massiven Angst vor einer neuerlichen Blutung und einer neuerlichen Operation.

Diese Angst ist schlicht fürchterlich für die Patienten. Man kann sich nicht ständig unter ein Hirnschichtröntgen cCT legen, da die Strahlenbelastung enorm ist. Außerdem nutzt es auch nichts, denn wenn eine Blutung besteht, wird man operiert. Wird man mehr als zweimal operiert, dann ist auch das tödlich oder jedenfalls mit schweren Schäden verbunden. Nach der zweiten Operation erfolgt auch keine Entfernung durch Bohrloch mehr, sondern wird die Schädeldecke geöffnet.

Es gibt die Behauptung, dass diese Hirnbrückenvenen und kleine Kortikalarterien durch das mit dem Alter schrumpfende Gehirn (deshalb ist das Risiko bei den 70 bis 80Jährigen am größten) spröde werden. In der Regel erhält man diese Information von den Neurochirurgen nicht. Wenn man nachfragt, was offenkundig kaum jemand macht, wie viel Platz dort und ob das Hirn dann „locker“ im Kopf sitzt, dann kommt man drauf, dass die Hirnschrumpfung so gering ist, dass sie nicht einmal messbar ist. Dann bewirken natürlich diese 1 – 2 cm, in meinem Anlassfall 3 cm breiten, mal 12 cm langen Einblutungen, wo nur ein Kapillarspalt ist, enormen Schaden an den bereits desolaten, gestressten Hirnbrückenvenen und kleinen Kortikalarterien. Durch diese 1, 2, 3 cm breite Blutung und Einblutung über einen Zeitraum von 2 Monaten und mehr entsteht natürlich ein viel größerer Schaden an den Hirnbrückenvenen und kleinen Kortikalarterien als durch diese altersbedingte, nicht messbare Schrumpfung des Hirns.

Ich erzähle Ihnen hier Dinge, von welchen Sie denken werden, dies sei alles Stand der Wissenschaft. Dies wäre Stand der Wissenschaft, wenn man die Fakten der Wissenschaft mit Hausverstand aneinander reiht. Das aber findet auf Grund eines Kommunikationsloches zwischen Neurochirurgen und Neurologen weltweit nicht statt.

In Vorarlberg besteht die Chance auf Grund der Person des Primarius Dr. Werner, der offensichtlich, was sich aus seiner Anfragebeantwortung ergibt, sich der Problematik bewusst ist, allerdings nur in der Dimension der Motorik.

Das ist eben das Spektakuläre an dieser Operation. Der Patient hat Lähmungs- und Ausfallserscheinungen und direkt nach der Bohrlochentfernung sind diese grobmotorischen Schäden wieder weg und er kann wieder gehen, Geräte bedienen, sich mitteilen etc.
Es erfolgt aber am Spitalsbett, zumindest in Graz, ich weiß nicht, wie das in Vorarlberg gehandhabt wird, keine Information darüber, dass man mit der postoperativen Drainagen (die Standard ist) im Bett liegen bleiben soll. Das Nachblutungsrisiko reduziert sich nämlich mit Liegenbleiben bei gesetzter Drainage um das Neunfache. Das ist internationaler Stand der Wissenschaft, die in Graz aber nicht an den Patienten kommuniziert wird! Selbst wenn ein Patient, wie in meinem Anlassfall, mitteilt, dass er zwei Tage nach der Operation mehrere Stockwerke zu Fuß geht, wird dies nur kommentarlos zur Kenntnis genommen.
Auch, dass der Patient 2 – 3 Liter Flüssigkeit pro Tag trinken soll, wird diesem erst bei Entlassung mitgeteilt.

Der Patient bekommt auch nicht mit, dass er sich schonen soll. Der Patient in meinem Anlassfall ging mehrere Stockwerke pro Tag, weil er sich dachte, dass er lieber das zur Thrombosevermeidung macht, als das Thrombosemittel gespritzt zu bekommen, und noch dazu da dieses die Blutgerinnung hemmt, gemäß Hausverstand das Nach- und Neublutungsrisiko steigert. Laut Stand der Medizin sind diese die Hauptursache für die subdurale Hirnblutung. Der Hausverstand ist unter den Neurochirurgen abgeschafft.

Es wird dem Patienten nicht erklärt, warum dieses Thrombosemittel nicht das Blutungsrisiko erhöht, wenn anerkannter Weise die Zahl derer, die solche blutgerinnungshemmende Mittel bekommen, wozu diese Thrombosespritze auch zählt, einen erheblichen Anteil unter jenen Patienten ausmachen, bei welchen diese Hirnbrückenvenen und kleinen Kortikalarterien reißen und eine subdurale Hirnblutung verursachen.
Es müsste sich die Medizin in einem ersten Schritt bewusstwerden, dass nach Hausverstand aufgehört werden muss zu sagen, dass die Ursache für diese langsam einblutende (chronische) subdurale Hirnblutung, die fälschlich als subdurales Hämatom bezeichnet wird, was richtigerweise erst die Folge dieser Blutung ist, der Zustand der desolaten Hirnbrückenvenen und kleinen Kortikalarterien ist. Man sollte sich damit auseinandersetzten, wie man dort etwas tun kann, damit dieser Zustand dieser Hirnbrückenvenen und kleinen Kortikalarterien besser zumindest nicht verschlechtert, belastet wird, indem sich der Patient schont etc.

Erstaunlicherweise haben die größte Information über die Folgen, nämlich dass diese mindestens 6 Monate bis zu einem Jahr oder auch permanent andauern können, die Unfallchirurgen, bei welchen diese subduralen Blutungen entweder eine Nebenfolge eines Unfalles sind oder, wenn der Patient auf Grund einer kleinen Kopfverletzung vorstellig wird, dann nur scheinbar auf Grund des Unfalles entstehen.
Oft gibt es in Unfallspitälern keine neurochirurgische Abteilung, wie am Lorenz-Böhler-Krankenhaus in Wien. Dann führt der Unfallchirurg diesen neurochirurgischen Eingriff durch, der aber dann den Patienten sehr langfristig nachkontrolliert, weil für Unfallchirurgen die Nachsorge ein gelebter Standard ist, weil z. B. auch Schrauben zu entfernen sind etc. Der Patient wird jedenfalls regelmäßig zu Kontrollterminen geholt, was auf der Neurochirurgie durch die Neurochirurgen nicht stattfindet und daher dieses Wissen über Folgen insbesondere die langfristigen Folgen dort völlig fehlt. Sie werden staunen welchen neurologischen Unsinn Neurochirurgen dahinquatschen – Fachoberarzt Dr. Schröttner, Neurochirurgie LKH Graz hat keine Ahnung über Ataxie (ua. Zahlen nicht zuordnen zu können) und wiederholt ständig Parese (Lähmung), egal wie oft man ihn auf diesen Unterschied aufmerksam macht, Dr. Hosmann, Neurochirurgie AKH Wien erzählt das Märchen er könne anhand eines schwarz/weiß Hirnschichtröntgens cCT ohne Kontrastmittel erkennen, ob eine Blutung der Hirn/Brückenvenen und kleinen Kortikalarterien stattfinden werde, was absoluter Nonsens ist. Beide verbieten die Veröffentlichung der jeweiligen Tonaufnahme dieser und anderer Unsinnigkeiten, die diese äußerten.

Die Neurochirurgen haben aus nicht nachvollziehbaren Gründen ein Problem damit, die Neurologen einzubinden.

In der Diplomarbeit Dopplinger über subdurale Blutungen und deren Behandlung durch die Grazer Neurochirurgie stellt dieser ungeniert fest, dass alle neurologischen Befunde dieser Neurochirurgie falsch sind, dort einfach Floskeln verwendet werden.

In meinem Anlassfall von der Grazer Neurochirurgie gab es keine einzige ärztliche noch weniger eine fachärztliche Untersuchung oder Behandlung des Patienten während des gesamten Aufenthaltes, mit Ausnahme der Operation, die aber keine Untersuchung ist. Diese Operation haben auch zwei „Lehrlinge“ durchgeführt, weil diese Operation am offenen Kopf und Hirn auf Grund der „Einfachheit“, egal welche Folgen mit der Operation für den Patienten verbunden sind, für einen fertigen Neurochirurgen unter dessen Würde ist.

Es ist auch mit Hausverstand klar, dass, wenn der Knochen aufgeschnitten, ein 2,5 cm großes Loch hinterlassen, das nicht mehr verschlossen wird, die äußere Hirnhaut aufgeschnitten und dort mit Instrumenten Blut herausgeholt wird, dies natürlich ein Risiko beinhaltet, jedenfalls aber Verletzungen durch Bohren, Schneiden etc. verursacht werden. Dies wird von den Neurochirurgen ignoriert.

Frau Dr. Cho, Neurochirurgie am AKH Wien, sagt dazu, dass bei einer subduralen Hirnblutung das Blut sich an einer Stelle im Schädel befindet, wo kein Blut sein sollte. Dieses ist sauer, schädigt, zumindest reizt dort die Hirnhäute und die Hirnbrückenvenen und kleinen Kortikalarterien. Dr. Cho war auch die Einzige, die meinem Anlassfall sagte, dass dessen Zukunftsprognose schlecht ist, da auf Grund der Tatsache der bereits gegebenen subduralen Hirnblutung das Risiko einer weiteren Hirnblutung um ein Vielfaches erhöht ist. Diese brachte es kurz und prägnant auf einen Nenner, ohne auch nur ein Wort zu sagen, was man dagegen tun kann/soll außerhalb der akuten Beschwerden, welche durch Schonung mit lediglich ab und an einem Familienfernsehabend (was nicht mehr im Befund dokumentiert wurde) eingedämmt werden sollen.

Dr. Hosmann, Neurochirurgie am AKH Wien, hingegen sagte in seiner Stellungnahme, dass dies nicht dramatisch sei, auch keine Schonung erforderlich sei, aber Akten werde der Patient nicht tragen können.

FOA Dr. Schröttner, Neurochirurgie LKH Graz, gab auch an, dass es keiner besonderen Schonung bedarf, sagt aber gleichzeitig, dass Konzentrationsstörungen auftreten und man daher nicht Autofahren soll.


Das macht keine Sinn! Richtig, was die Neurochirurgen über die Operation hinaus sagen, ergibt keinen Sinn!  

Diese ganzen widersprüchlichen Angaben sind mit dem Hausverstand nicht nachvollziehbar, sondern lediglich Beleg einer ungeheuerlichen Präpotenz der Neurochirurgen, worin wohl auch die Ursache dafür liegt, dass die Kooperation mit der Neurologie nicht stattfindet, und auch Ursache einer gewissen Angst in Folge meiner bisherigen Artikel zu diesem Thema.

Mit Ausnahme des Neurochirurgen OA Dr. Krainz LKH Salzburg haben die Neurochirurgen in Österreich dazu geschwiegen.

Es wurde die Frage an den Neurochirurgen Univ. Prof. Dr. Ortler gestellt, und dafür sogar Geld für ein entsprechendes Aktengutachten angeboten, was die Folgen einer solchen Bohrlochentfernung einer subduralen Hirnblutung für die Hirnhäute, das Hirn und damit die Fähigkeiten des Patienten sind und ab wann man damit rechnen kann, dass das Hirn sich so weit erholt hat, dass man belastbar ist, keine Konzentrationsstörungen mehr hat, die Merkfähigkeit wieder voll hergestellt ist etc. Man bekommt nur aggressive Reaktionen ohne sachlichen Inhalt dieses Professors für Neurochirurgie mit Spezialgebiet subdurale Hämatome und muss so erkennen, dass dieser selbst die Antworten nicht weiß.

Die Neurochirurgen, dies gilt auch für Feldkirch, schweigen, weil sie, auch auf Grund meiner Artikel, erkennen, dass das das sie tun kriminell ist. Das Handeln ist präpotent, ignorant und in der Folge kriminell, weil die Schädigung des Patienten an Leib und Leben zumindest billigend in Kauf genommen wird.

Dies indem eben nicht mit der Neurologie zusammengearbeitet wird, es keine langfristige Nachbetreuung des Patienten gibt und nur Situationen von Interesse sind, aus welchen heraus die Notwendigkeit einer neuerlichen Operation erwächst. Kurz: Das Schicksal des Patienten ist den Neurochirurgen so lange egal, solange er nicht am Operationstisch liegt.

Dies gilt auch für Feldkirch. Ich glaube, wenn ich die Information des Primarius Dr. Werner betrachte, dass auch hier die Neurochirurgie keine taugliche Kooperation mit der benachbarten Neurologie hat. Andernfalls würden die Patienten, die zwangsläufig, siehe Stellungnahme des Univ. Prof. Dr. Serles, neurologische Folgeprobleme haben müssen (alles andere ist nicht denkbar), soweit es nicht Motorisches betrifft (diese Probleme stören in der Pflege und im Spitalsbetrieb, wenn zB der Patient nicht selbständig auf die Toilette gehen kann usw.) nicht unbeachtet bleiben. Diese gegebene Nichtbeachtung hat fürchterliche Folgen, da allein schon der Stress auf Grund von Überforderung durch permanente Angst das Risiko einer neuerlichen Blutung erhöht.

Durch den Anlassfall, nachdem sich eine Modeunternehmerin erkundigte, ist dessen Familie darauf gekommen, dass diese mit 62 Jahren vor 11 Jahren auch eine subdurale Hirnblutung hatte. Diese blieb ein Monat stationär auf der Neurochirurgie LKH Graz, wollte aus Angst nicht entlassen werden, hatte 3 Jahre panische Angst und hat bis heute Merk-, Konzentrations- und Reaktionsbeschwerden und gelegentlich zieht sie das Bein wieder nach, was eine regelmäßige Begleiterscheinung der subduralen Hirnblutung ist.

Geradezu grotesk ist es, wenn OA Dr. Walter Rinner, Abteilungsleiter der neurologischen Diagnostik der Neurologie AKH Wien mich auffordert, mit meinen Informationen aufzuhören, da dadurch Ärzte in Misskredit gebracht werden, gleichzeitig aber im Nachsatz schreibt: Das Thema ist tatsächlich schwierig. Das gilt aber auch für VIELE andere neurol. Krankheitsbilder.

Es kann nicht die Lösung sein, einfach über schwierige Themen zu schweigen.

Sie vertreten den Standpunkt, in Vorarlberg ist man transparent und packt Probleme mit Offenheit und Ehrlichkeit an. Das könnte, auf Grund der sicher einzigartigen Problembewusstseinssituation des Primarius Dr. Werner, eine Chance für die Welt sein.

Jedes Jahr kommen 55 neue Patienten allein in Vorarlberg dazu, das sind nicht mehr 2, auch nicht 5 sondern mittlerweile 13/100.000, die nach einem Jahr nach der Operation nicht gesund sind, sodass die Zahl der betroffenen Patienten über mehrere Jahre erheblich ist, aber es zählt jeder einzelne.

Frau H............. K.................., Graz, ist zB als 62Jährige 2012 wegen einer subduralen Blutung operiert worden und leidet heute noch an Folgeschäden (Denkaussetzer, Koordinationsprobleme etc.) und schont sich auch bis heute, indem diese keinen Sport macht außer Schwimmen, da nur hier Stöße und Bewegungen, die das Hirn erschüttern könnten, zu vermeiden sind.
Bewusst nenne ich Ihnen deren Namen, denn sonst klingt es so, als hätte man keinen Beleg zu den Behauptungen und würde alles nur der Fantasie entspringen.

Der Anlassfall, dass sage ich Ihnen auch offen, ist der auch Ihnen schriftlich bekannte B......... L....., der damit konfrontiert ist, was für mich völlig unvorstellbar war, dass er zum einen keine Informationen erhalten hat und zum anderen sich darüber beschwert hat, dass er keine Informationen erhält und nachgefragt hat, woher die Neurochirurgie überhaupt den Kenntnisstand hat, wenn diese den Patienten nach der Operation nicht mehr sieht.

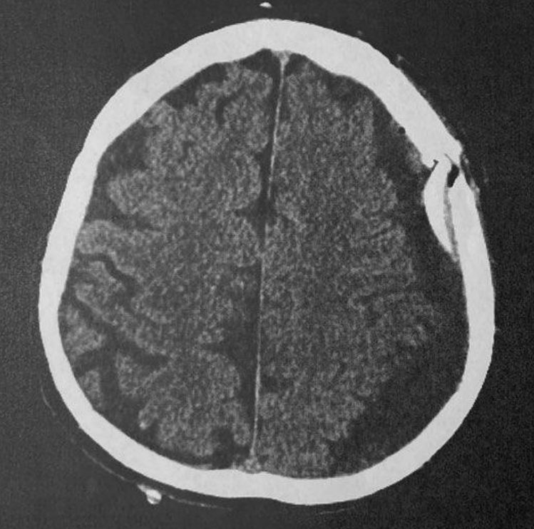
Als Folge hat er dann einen in der Verantwortung des Univ. Prof. Dr. Michael Mokry und Dr. Katharina Rauch inhaltlich medizinisch falsch erstellten ärztlichen Entlassungsbrief erhalten, der Kurzarztbrief ist ebenso falsch erstellt, in dem eine bestehende 1 cm breite 12 cm lange Hirnblutung nach Operation verheimlicht ist und in welchem steht, dass keine Raumforderungen mehr gegeben sei, also kein Blut mehr dort und das Hirn nicht mehr gequetscht sei, was, wie sich aus dem postoperativen cCT kurz vor, am Tag der Entlassung aus dem Spital ergibt objektiv falsch ist, da das gequetschte Hirn, eindeutig auch für einen Laien, wenn ihm dieses Bild gezeigt wird, erkennbar ist.

Wenn Bernhard Lanz das gewusst hätte, hätte er das Spital nicht verlassen, er hat nur nicht verstanden, warum sie so einen Aufstand machen, dass er geht, wenn ohnedies in 5 Tagen alles vorbei sei und er durch eine hohe Dosis an Medikamenten keine Schmerzen verspürte.

Offensichtlich, weil man verbergen will, dass die „Lehrlinge“ die Operation „nicht gut“ gemacht haben.

Dass „Lehrlinge“ operiert haben, ist nur aufgefallen, weil der Neffe des Herrn Lanz Unfallchirurg ist und der Bruder Orthopäde. Die Unfallchirurgie ist in Graz im selben Haus wie die Neurochirurgie. Der Neffe hat ungefragt über den Bruder der Lebensgefährtin des Herrn Lanz mitgeteilt, welches tolle Operationsteam diese Operation machen wird. Dann aber kam auf einmal eine Mail als Reaktion auf eine Beschwerde: „Nach Rücksprache mit Ihrer Operateurin Dr. Rauch und dem Klinikchef Dr. Mokry, möge Herr Lanz zeitnah zu einer Untersuchung kommen“.

Bei dem vom Neffen genannten Operationsteam war aber keine Frau Dr. Rauch dabei.

Es folgten Erkundigungen und stellte sich heraus, dass Dr. Rauch im 15. Lehrmonat ist und der Operateur, der sie beaufsichtigt hat, auch noch in Ausbildung ist. Es war kein einziger ausgebildeter Arzt anwesend, also keine Rede von dem tollen Operationsteam.

In allen internationalen Studien steht, dass es keinen Unterschied im Ergebnis macht, ob diesen Eingriff ein gelernter oder ungelernter Neurochirurg macht. Das ergibt natürlich auf dieser Basis einen Sinn, denn für die fertigen Neurochirurgen ist diese Art der Operation von der Technik her zu „minder“, so dass diese regelmäßig von Ärzten in Ausbildung durchgeführt wird.

Dass es sich bei der Subduralblutung um ein serious health event mit hohem Sterblichkeitsrisiko, es sterben allein mehrere % nach der Operation vor der geplanten Entlassung, nicht nur erst in der Folge, handelt, wird außer Acht gelassen.
 
Die ersten drei von mir zu diesem Thema veröffentlichten Artikel, jetzt folgt der 4., werden enorm stark gelesen. Erstaunlicherweise sehr stark in unserer Schweizer Ausgabe. Das Interesse ist auch in der Deutschland Ausgabe außerordentlich groß, aber auffallend groß tatsächlich in der Schweiz.
 
Ich beschäftigte mich sehr intensiv mit dem Thema und bin bislang schon an die 40 Studien durchgegangen. Der Sachverhalt ist nicht sonderlich kompliziert, wie sich aus dem von mir zuvor Ausgeführten ergibt.

Die Neurochirurgie ist hier ein Frankenstein`sches Monster. Die Ursache ist, dass sich die Neurochirurgen als Krönung der Götter in Weiß sehen.

Ich muss Ihnen leider einen sehr besorgniserregenden Gedankengang darlegen:  Die Nazi Zeit wäre ohne die willfährigen Ärzte nicht möglich gewesen.
Ich bin bei meinen Recherchen vor mehr als 40 Jahren auf eine Frau gestoßen, deren Mann und eine Tochter in der Gegend von Kiel 1945 gestorben ist. Der Mann war Arzt und hat in der Nazi Zeit Menschenversuche an Häftlingen gemacht. Diese konnten sich für Tiefkühlversuche melden und erhielten, wenn sie überlebten, die Freiheit versprochen. Es hatte sich nämlich herausgestellt, dass völlig gesunde Fallschirmspringer starben, wenn sie im kalten Wasser landeten. Auf diesen Arzt geht diese Nackenschutz bei Schwimmwesten zurück, weil dieser herausgefunden hat, dass durch den Kälteschock auf den Nacken eine Lähmung eintritt, welche zum Tode durch Ertrinken führt. Dieser Arzt hat 1945 sich, seine Frau, seine Schwiegermutter und zwei Töchter durch Aufdrehen des Gasherdes umgebracht bzw. dies versucht, denn bei Frau und einer seiner Töchter hat es nicht funktioniert. Diese überlebten mit massiven mentalen Folgen.  Diese Tochter, die ich in diesem Zusammenhang kennengelernt habe, die 1945 17 oder 18 Jahre alt war, hat als mehr als 40-Jährige die Einstellung des Vaters transportiert, wie glücklich diese Häftlinge waren, dass sie an diesen Menschenversuchen teilnehmen konnten.
Kürzlich war eine Dokumentation, three identical strangers, im Fernsehen über absichtlich voneinander getrennte jüdische Drillinge, die, wie Laborratten, vom emigrierten Österreicher Dr. Neubauer, der dem Holocaust in die USA entkommen ist, in einem Versuch zumindest ihr gesamtes Kindes- und Jugendalter hindurch ohne Wissen deren jeweiliger Adoptiveltern beobachtet worden sind. Dasselbe Experiment hat dieser auch an jüdischen Zwillingen durchgeführt. Dass diese Vorgehensweise ethisch inakzeptabel war, hat niemand der beteiligten Ärzte gestört.

Diese ideologische Grundhaltung der Ärzte ist ein Problem, das auch die Politik fordert.

Den Ärzten ist die Dimension des Hippokratischen Eides nicht bewusst. Das ist gerade auch aktuell in der Debatte COVID Impfung/nicht Impfung und anderes mehr eine ganz relevante Größe, weil der Eid des Hippokrates für den Einzelnen sehr wichtig ist, da das die Grundlage des medizinischen Handelns nicht nur sein sollte.

Vor diesem gesamten Hintergrund ist es nachvollziehbar, dass die Neurochirurgen des Landeskrankenhaus Feldkirch abgelehnt haben Fragen zu beantworten und zu den Äußerungen des Primarius Dr. Werner Stellung zu nehmen, und dass in der Folge auch Primarius Dr. Werner die ergänzenden Fragen, wie viele der von ihm mit 55 bezifferten subduralen Hirnblutungen langsam einblutende, wie viele „normale“ akute und wie viele subakute sind, nicht mehr beantwortet hat, sondern die Pressesprecherin dazu schweigt.

Die Pressesprecherin des Universitätsklinikums Linz hat irrtümlich ein internes Mail an mich gesandt, in welchem diese deponiert, dass der Leiter der Neurochirurgie Innsbruck jenen der Neurochirurgie Linz, Univ.-Prof. Dr. Andreas Gruber, vor meinen Artikeln gewarnt hat.
Mag. Leander Pernkopf Leiter der Rechtsabteilung des Uniklinikums Linz hat vor einer Beantwortung gewarnt und diese untersagt, offenkundig damit Patienten keine Schadensersatzklagen einbringen. Andernfalls ergibt diese Haltung keinen Sinn
 
Mit freundlichen Grüßen,
Ulrike Müller
DAS Frauenonlinemagazin die-frau.com, editionen .at, .de, .ch

Hirnblutung/chronisches Subduralhämatom - die Neurochirurgen sind leider nicht nur präpotent und die Neurologen wider besseren Wissenmüssens naiv. Teil 4
 
    
Hirnblutung/chronisches Subduralhämatom - die Neurochirurgie ist präpotent und die Neurologie naiv. Teil 3
 
    
Hirnblutung/chronisches Subduralhämatom - die Neurochirurgie ist präpotent und die Neurologie naiv. Teil 2
 
    
Hirnblutung/chronisches Subduralhämatom - die Neurochirurgie ist präpotent und die Neurologie naiv. Teil 1



 

Kommentare

Facebook automatisch im meinem Facebook-Profil anzeigen
Twitter automatisch im meinem Twitter-Profil anzeigen 
 

die-frau.ch
Forum der Rubrik Weiter nach alle
Sich schlecht fühlen
Anzahl Postings: 1
Arztsuche?
Anzahl Postings: 1
Suche Balkonkraftwerk
Anzahl Postings: 1
Gedäntnis
Anzahl Postings: 1

Der Mann des Tages


 

Rezept der Woche

Zitronenmarmelade

Kolumne  
Marvel(lous)!

On Thursdays, we're Teddybear doctors

Marvel(lous)!

Umfrage Weiter nach alle

Ich kaufe mir Kleidung...